![]() |
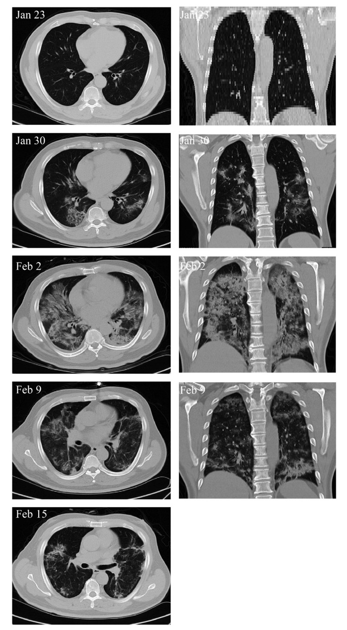
| ▲ 줄기세포 이식 후 폐렴 소견변화 CT 사진. (사진=인하대 제공) |
[세계로컬타임즈 장선영 기자] 인하대 민경진 생명과학과 교수는 중국 상하이대학 연구팀이 진행한 줄기세포 이용 코로나19 치료법 개발에 참여했다.
중국 상하이대학교 로버트 자오 박사가 이끄는 연구팀은 베이징의 유안병원에서 환자 7명을 대상으로 줄기세포 치료를 14일동안진행했다.
연구팀은 치료 전 38.5도 이상 고열과 호흡곤란, 낮은 산소포화도를 보이던 환자들이 줄기세포 치료 시작 2~4일 이후부터 이러한 증상들이 사라지기 시작했으며, 10일 이내에 퇴원을 한 3명을 포함해 모든 환자가 회복됐다는 결과를 발표했다.
유네스코 항노화 위원으로 참여한 민경진 교수는 “노년층은 노화에 따른 면역 기능 저하로 코로나19 감염이 치명적일 경우가 많다”며 “이번 연구로 줄기세포가 노년층의 면역기능을 향상시키는 새로운 치료 전략을 제시했다는 점에서 의미가 크다”고 말했다.
[저작권자ⓒ 세계로컬타임즈. 무단전재-재배포 금지]













































